Seu ritual matinal envolve café, mas o reflexo no espelho mostra manchas indesejadas? Descobrir como tirar mancha de café do dente pode parecer um desafio, mas a boa notícia é que existem soluções eficazes e rápidas para 2026. Neste post, eu vou te mostrar os caminhos mais práticos para um sorriso mais branco e confiante, sem complicação. Prepare-se para dizer adeus às marcas de café e dar boas-vindas a um sorriso radiante!
Como as Soluções Práticas para Remover Manchas de Café do Dente Funcionam para um Sorriso Mais Brilhante em 2026?
Sabe aquela sensação de ter o sorriso renovado? É exatamente isso que os cremes dentais clareadores como a linha Colgate Luminous White Lovers Café proporcionam.
Eles são formulados com agentes específicos que atacam diretamente as moléculas causadoras das manchas de café, promovendo uma limpeza profunda.
O resultado é visível, devolvendo o branco natural dos seus dentes de forma consistente.
“O café contém taninos que aderem ao esmalte dentário, causando o amarelamento e a pigmentação dos dentes. Tratamentos variam de cremes dentais clareadores para manchas superficiais a clareamento dental profissional para pigmentações mais profundas, utilizando agentes como o peróxido de carbamida.”

Manchas de Café nos Dentes? A Solução Definitiva Chegou!
A gente ama um cafezinho, não é mesmo? Seja pra começar o dia com o pé direito ou pra dar aquele gás na tarde, ele é quase um companheiro inseparável. Mas aí vem o porém: aquelas manchinhas chatas que insistem em aparecer nos dentes. Pois é, eu sei como isso incomoda e te entendo perfeitamente. Mas fica tranquila, porque preparei um guia completo, prático e direto ao ponto para você dar adeus a essas manchas e voltar a sorrir com confiança.
Esqueça soluções milagrosas que não funcionam ou métodos que podem prejudicar seu sorriso. Aqui, você vai encontrar o passo a passo com o que realmente funciona em 2026, com dicas que vão desde o cuidado diário até tratamentos mais específicos. Vamos colocar esse sorriso pra jogo de novo!
| Tempo Estimado | Nível de Dificuldade | Custo/Esforço |
|---|---|---|
| Variável (de minutos a semanas) | Fácil a Moderado | Baixo a Alto |

A Preparação (O Que Você Vai Precisar)
- Creme dental clareador específico para café
- Fio dental e escova de dentes
- Enxaguante bucal (opcional)
- Canudo (para prevenção)
- Água (para enxaguar a boca)
- Acesso a um profissional de odontologia (para tratamentos avançados)

Passo a Passo Detalhado

Referência: sorridentsfranchising.wordpress.com Comece com a Higiene Básica:
Escove seus dentes cuidadosamente após consumir café. Use o fio dental para remover resíduos entre os dentes. Isso impede que os pigmentos se fixem.

Referência: sinpla.com.br Use um Creme Dental Clareador:
A verdade é esta: Cremes dentais clareadores são seus melhores amigos no dia a dia. Procure por produtos formulados especificamente para remover manchas de café e vinho. A linha Colgate Luminous White Lovers, por exemplo, tem opções como o Creme Dental Colgate Luminous White Lovers Café 70g, que é um verdadeiro aliado contra essas manchas. Use-o regularmente, como faria com seu creme dental normal.

Referência: www.colgate.com.br Considere a Limpeza Profissional:
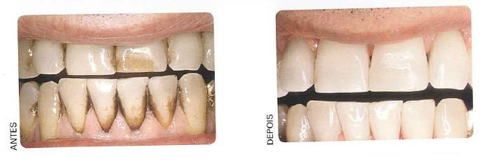
Se as manchas já estão mais evidentes, uma visita ao dentista é fundamental. A limpeza profissional (profilaxia) remove manchas extrínsecas com técnicas como ultrassom e jatos de bicarbonato. É um procedimento rápido e muito eficaz para devolver o brilho natural.

Referência: www.portalarcos.com.br Avalie o Clareamento Dental:
Para manchas mais profundas ou um resultado mais notável, o clareamento dental pode ser a solução. Converse com seu dentista sobre as opções: clareamento a laser no consultório ou moldeiras caseiras com gel clareador, sempre sob supervisão profissional. O preço varia, mas o resultado compensa para quem busca um sorriso impecável.

Referência: www.tuasaude.com Adote Hábitos Preventivos:
O grande segredo? Prevenir é sempre melhor (e mais fácil!) do que remediar. Beba água logo após o café para ajudar a limpar os dentes. Usar canudo também pode minimizar o contato direto do líquido com a superfície dos dentes.

Checklist de Sucesso
- Seus dentes parecem visivelmente mais claros após algumas semanas de uso do creme dental clareador?
- As manchas de café estão menos perceptíveis ou foram completamente removidas?
- Você se sente mais confiante ao sorrir?

Resolução de Problemas (Troubleshooting)
O que fazer se a sensibilidade aumentar? Se ao usar um creme dental clareador ou durante um tratamento de clareamento você sentir mais sensibilidade, procure um creme dental para dentes sensíveis e converse com seu dentista. Ele pode ajustar o tratamento ou recomendar produtos específicos.
Cremes Dentais Clareadores Específicos para Café
Vamos combinar, a rotina corrida pede soluções práticas. Os cremes dentais clareadores, como os da linha Colgate Luminous White Lovers Café, são formulados exatamente para combater essas manchas específicas. Eles contêm agentes que ajudam a remover os pigmentos do café sem agredir o esmalte, quando usados conforme a indicação.
Limpeza Profissional (Profilaxia) para Manchas Extrínsecas
Sabe aquelas manchas que ficam na superfície do dente? São as extrínsecas, e o café é um campeão em causá-las. A profilaxia realizada pelo dentista é a forma mais segura e eficaz de removê-las. O procedimento utiliza equipamentos como o ultrassom e o jato de bicarbonato para polir e limpar o esmalte, devolvendo o brilho e a cor natural dos seus dentes.
Clareamento Dental: Opções em Consultório e Caseiras
Quando as manchas são mais teimosas ou você busca um clareamento mais intenso, o clareamento dental é o caminho. No consultório, o dentista aplica géis clareadores potentes e, muitas vezes, usa luzes especiais para acelerar o processo. Para quem prefere fazer em casa, existem moldeiras personalizadas feitas pelo dentista, que você preenche com gel clareador e usa por um período determinado. Lembre-se: sempre sob orientação profissional para garantir segurança e eficácia.
Dicas Essenciais para Prevenir Novas Manchas de Café
Prevenir é a palavra de ordem para manter seu sorriso brilhante. Além de beber água logo após o café e usar canudo, tente diminuir a frequência com que você toma a bebida ou intercale com água. Cada pequena ação conta para evitar que novas manchas se formem.
A Importância da Higiene Bucal Consistente
Pois é, a base de tudo é a higiene bucal. Escovar os dentes após as refeições e usar o fio dental diariamente não só previne cáries e gengivite, mas também é crucial para remover os pigmentos de alimentos e bebidas como o café antes que eles se tornem manchas difíceis de tirar. Não pule essa etapa!
Métodos Caseiros Abrasivos: O Que Evitar para Proteger o Esmalte
Muita gente pensa em usar bicarbonato de sódio puro ou carvão ativado para clarear os dentes em casa. Mas atenção: esses métodos podem ser muito abrasivos. Usados incorretamente ou com frequência, eles podem desgastar o esmalte dental, deixando seus dentes mais sensíveis e até mais propensos a novas manchas no futuro. Fique longe deles!
Como os Taninos do Café Afetam o Esmalte Dentário
O café contém taninos, que são compostos que aderem facilmente à superfície do esmalte dental. Com o tempo e a exposição repetida, esses taninos se acumulam, formando aquelas manchas amarronzadas ou amareladas que tanto nos incomodam. Entender isso nos ajuda a valorizar ainda mais as práticas de higiene e prevenção.
Dicas Extras
- Use um canudo: Para reduzir o contato direto do café com os dentes.
- Beba água logo após: Um gole de água ajuda a limpar os resíduos.
- Considere enxaguante bucal: Alguns tipos auxiliam na prevenção de manchas.
- Não escove imediatamente: Espere um pouco após o café para não espalhar a mancha.
Dúvidas Frequentes
O que fazer para tirar mancha de café do dente em casa?
Para manchas superficiais, você pode usar cremes dentais clareadores específicos, como a linha Colgate Luminous White Lovers. Lembre-se de manter uma boa higiene bucal.
Qual o melhor tratamento para dente manchado de café?
O tratamento ideal depende da profundidade da mancha. Para casos mais simples, pastas clareadoras ou limpeza profissional (profilaxia) podem resolver. Para manchas mais resistentes, o clareamento dental, feito com acompanhamento profissional, é mais indicado. Pensar sobre as melhores pastas de dente para remover manchas de café é um bom começo.
Pasta de dente clareadora para café funciona mesmo?
Sim, pastas de dente clareadoras formuladas para manchas de café funcionam removendo pigmentos superficiais. A eficácia varia conforme o produto e a intensidade da mancha. Para manchas mais profundas, pode ser necessário um clareamento dental profissional.
Conclusão
Manchas de café nos dentes são comuns, mas totalmente controláveis. Com as dicas certas e os produtos adequados, você pode manter seu sorriso brilhante. Explore opções como as melhores pastas de dente para remover manchas de café e considere o clareamento dental profissional vs. caseiro: qual o melhor para manchas de café? Lembre-se que a prevenção é sempre o melhor caminho.






